岐阜市の歯科・歯医者・インプラント|りお歯科クリニック

岐阜市の歯科・歯医者・インプラント|りお歯科クリニック

インターネット初診予約
インターネット問診票

お子さまの矯正

  • 現在のご予約空き状況
  • 本日のご予約はお電話でお問い合わせくださいませ。


「うちの子、歯並びが少し悪いのかな?」
「歯並びを矯正した方がいいのかな?」
とご相談されるご両親の声をよく聞きます。

 周りのお子さんが歯並びの矯正をしている
 笑った時にこどもの歯並びが気になる
 歯科検診などで「かみ合わせ」にチェックが入っていた
 
子供の矯正を考えているけれど、
「子供の歯の矯正は、何歳ごろから始めたらいいの?」
「矯正をすることでどんなメリットがあるのかな?」
「治療費などはいくらくらいかかるかな?」

など様々な疑問があると思います。

ご両親がしっかり納得し「安心して治療ができるよう」小児矯正歯科に関するご質問にお答えします。

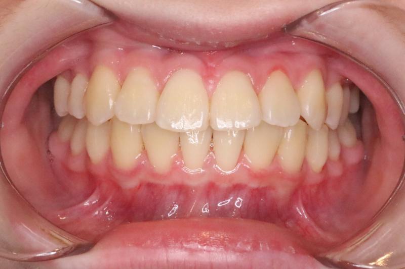
うちの子は歯並び大丈夫?チェックしてみよう!

子供は自分の歯並びが悪いという自覚症状がほとんどありません。ご両親がお子様の歯をチェックしてあげましょう。大人になって悩むより、早期発見・早期治療が大切です。
下記のチェックに当てはまる場合は、お気軽にご相談ください。
 
歯並びチェック
 受け口(下顎が上顎よりも大きい)
 出っ歯(上顎が下顎よりも大きい)
 八重歯(歯が生える場所がない為、でこぼこに生えている)
 すきっ歯(歯と歯の間が空いている)
 しゃべるとき発音が少しおかしい
 乳歯が虫歯になっている
 顔の左右のバランスが違う
 うつぶせで寝ることがよくある
 指をしゃぶる癖がある

お子さまの矯正についてよくあるご質問

歯並びの悩み

Q1.お子さまの矯正治療の必要性

保護者様
6歳の娘の歯並びが悪くて気になっています。
こどものころから矯正治療は必要なのですか?
スタッフ
おこさまの悪い歯並びが体に及ぼす影響はどんなことがあるかご存知ですか?
歯並びが悪いと、体の発育や健康や心にまで悪影響を及ぼしてしまいます。
今歯並びの矯正を行うかどうかで、お子様が大きくなっていき大人になってからの人生や生活にも関わってくるともいえます。
「良い歯並び」になることはメリットがたくさんあります。

 
メリット①食事、言葉の発音、運動の機能が上がる

歯のかみ合わせを治療し歯並び・噛み合わせが綺麗になることで、お子様のすべての機能を最大限に伸ばす事が可能です。
食事・発音・運動すべての機能に好影響を与えます。
大人でいうとオリンピック選手やサッカー・野球などのスポーツ選手から芸能人・アナウンサーも矯正治療を受けている方が多くいらっしゃいます。
正しいかみ合わせはよりよい生活に良い影響を与えます。

メリット②虫歯・歯周病予防、セルフケアしやすい

お子様の歯並びが悪い場合、段差やすき間などが多い為、磨き残しや歯垢がたまりやすくなり良くありません。
磨き残しが出来ることで虫歯になり失われた歯は二度ともとには戻りません。
大切な歯を失われないためにも良い歯並びを目指し、健康な歯を今のうちから意識しましょう。

メリット③いつも素敵な口元(はならび)と笑顔で、健やかなお子さまの将来へ

初めて会う人との第一印象はとても大切です。
特に歯並びの良い素敵な笑顔は、自信も出て自然に笑うことができますし相手に良い印象持ってもらえると思います。

このような矯正治療を行うことによる、お子様へのメリットは凄く大きいです。
早い段階からプランを立てて「キレイな歯並び」を実現してあげることをおすすめします。


 

お子さんの歯並びが悪いけど、抜歯をして大変な思いはなるべくさせたくないとお考えの親御さん方が多いと思います。

りお歯科クリニックでは「できるかぎり歯を抜かない(非抜歯)強制治療」の歯列育形成を実施しております。
従来の矯正治療ではなく、歯列育形成なら抜歯せず、歯並びやかみ合わせをきれいに出来る可能性があります。

「歯列育形成」がもたらすメリット

①美しい歯並びあごの成長を促進します抜歯

小さい頃から矯正治療を開始することにより、顎の成長を促すことができます。
抜歯せずに美しい歯並びを目指すことができるのです。

②綺麗なかみ合わせ集中力と運動能力への影響運動

綺麗な噛み合わせは全身にとても良い影響があります。
集中力や運動能力への良い影響と、からだのあらゆる成長に対して影響力があります。

③虫歯0(ゼロ)と予防大切な歯を虫歯から守る予防歯科

矯正治療の間は「歯並びを良くしていく過程」だけではありません。
お口の中を清潔に保っていくことも目的です。
お子様の大切な歯を、最善の治療法で虫歯にならないように守ります。

お子さまの矯正時期

保護者様
8歳の息子の矯正を、そろそろお願いしようかと考えています。
始めるのが遅いですか?
本当は何歳頃からはじめたらいいのですか?
スタッフ
何歳になったので治療はもうできないなどのような事はございませんが、歯が生え揃ってくる幼い時期から歯を診させていただくことによって、矯正治療によるきれいな歯並びの治療計画の幅が広がっていきます。
就学前といって急いでに装置を取り付けるとは限りませんので、ご安心ください。診察とカウンセリングにてお子様にぴったりな時期を診断して、矯正の治療計画をプランニングいたします。
また、小さなお子様に関しては、4歳~5歳くらいから成長に合わせて矯正していただくことをおすすめしております。

 

矯正治療のスケジュール
就学前
乳歯のみが生えている状態です。まだ永久歯は生えていません。
前歯のがたつきが考えられる時は、小学校低学年ころまで様子を見る場合がございます。
このとき、下顎の場所が前後左右にズレてしまっていたり受け口になっている時は、マウスピースで治していきます。
小学校低学年
前歯と6歳臼歯が生えそろってくる時期です。
歯並びの前と後ろの幅や大きさが決まってきますので、取外しの床矯正装置で前歯と奥歯の嚙み合わせを揃えていきます。
小学校低学年の時期から矯正を始める場合、本格矯正が必要なくなる場合がございます。
小学校高学年
これからの時期は、犬歯から小臼歯が永久歯へと生え変わりはじめますので、ヘッドギア・固定式装置・マウスピース等の装置を使って歯並びの矯正を準備していきます。
高学校高学年より矯正をスタートする時は、本格矯正(ワイヤー装着)がほとんどの場合で必要になってまいります。
もし、中学生から始めたとして比べてみると、治療管理の期間は当然長くなります。
本格矯正(ワイヤー装着)の期間に関しては短くなります。
中学生以降
全ての永久歯が生えそろってから矯正を始めます。
乱杭のみの場合は歯を抜かずに矯正治療もできる場合がございます。
出っ歯など前後に矯正が必要の場合は、抜歯をするケースもあります。

 
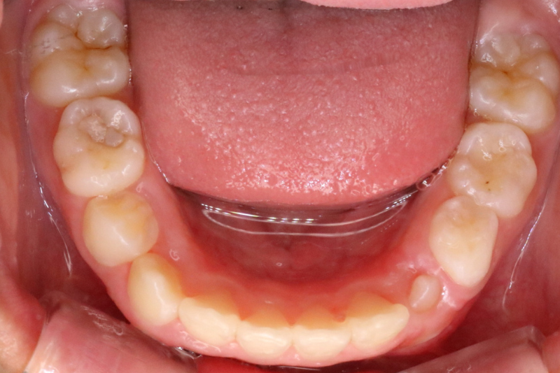
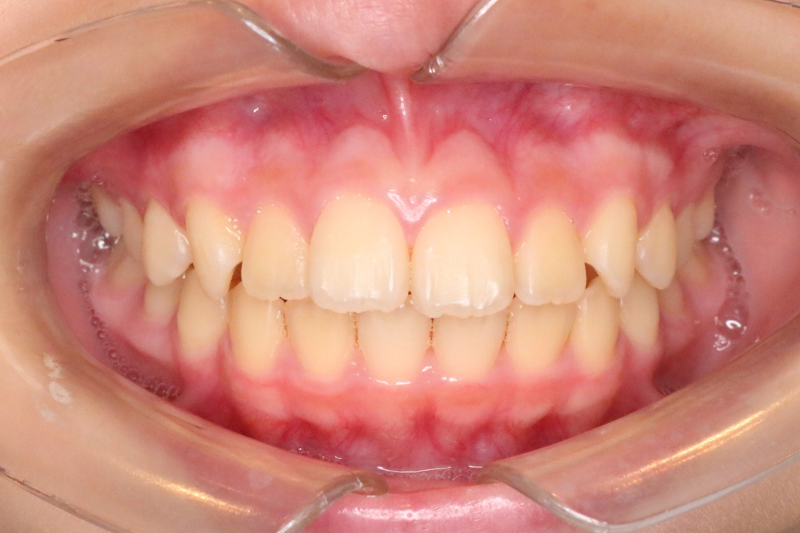
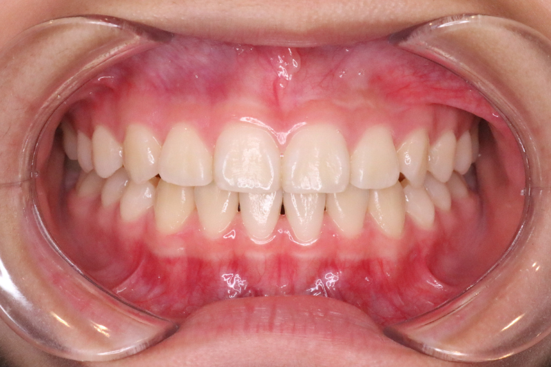
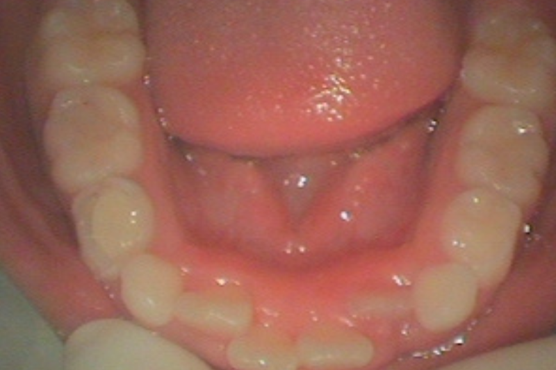
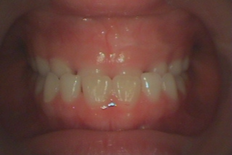
治療例(前歯・反対咬合)
下記の図を見ていただくとわかる通り、下の前歯が反対咬合(はんたいこうごう)になっています。
これから生えてくる永久歯の生える場所がありません。 矯正装置のプレートを使用して、顎を少し拡げます。
永久歯の生えてくる場所をつくることができ、前歯のかみ合わせが治ります。
プレートをよく使用していただいたので、非常に美しい歯並びになります。

dogs
治療後の現在は虫歯もなく、きれいで美しい状態を保っています。

定期的に診ていくとき同時に、歯のおそうじと虫歯にならないよう予防をしています。
りお歯科クリニックでは、患者様がいつも虫歯のないきれいな歯並びでいられるよう最善の治療をご提供しています。
現在、当院の歯列育形成の矯正で、虫歯のない「美しい歯並び」「すてきな笑顔」のこどもたちが増えています!
 

お子さまの矯正の種類について

1.マイオブレイスという装置を用いた予防矯正
これは既製の装置を用いてトレーニングをしていただく矯正方法です。寝ている間と起きている間の1時間を矯正に充てていただきます。
期間としては約3年を目途にしています。
この装置を使うトレーニングを行うことで、呼吸を正常にし舌の位置を適正にすることで顎骨の正しい成長を促し、その結果正常な歯列を形成することを目的とした矯正方法です。
「予防矯正」とも呼ばれ、小さな時期から行う矯正として近年、世界的に急速に普及してきた治療方法です。

2.インビザラインファーストを用いた矯正
これはアライナーという透明なマウスピースを用いた矯正方法です。
大人ではこのマウスピース矯正が主流になりつつありますが、その子供バージョンです。
ただし、時期が限定されます。前歯に永久歯があり、かつ乳歯が片側で2本以上残っているケースに限られます。主治医が判断いたします。
治療前に専用のデジタル機器でお口の中のデータを採取し、そのデータをアメリカに送ってアライナーを作ります。
期間としては1年半~3年を目途にしています。
永久歯の萌出する位置を予測し、スペース確保を目的とします。

3.全顎的なワイヤー矯正 および インビザライン矯正
すべての永久歯にブラケットを装着し、ワイヤーでの移動をメインとした従来型の矯正治療。
または成人向けのアライナーを用いたマウスピース矯正治療。
これはすべての乳歯が永久歯に生え変わった状態での矯正治療となります。
抜歯が必要なケースもあります。
どちらを行うかは主治医の判断となります。
 

矯正の費用について

保護者様
結構高いんじゃないかというイメージがありますが…
実際にこどもの矯正治療の費用はどのぐらいかかるのですか?
見てもらう前に大まかな金額を知りたいです。
スタッフ
はい。
ご相談時やカウンセリング時に治療内容だけでなく、治療にかかわる金額もお答えいたしますのでご安心ください。
治療による金額もどのくらいかかるのか、概算にてお伝え可能です。
一般的な矯正治療と比べ、歯列育形成の矯正の場合は低料金にて治療が可能と好評です。
実際にお子様の歯のようすや経過などを見ながら、親御様からのご相談も併せてお話しさせていただきます。
些細なことでもスタッフまでお気軽にお声かけ下さい。

1.マイオブレイスのみでの矯正治療

矯正相談 無料
資料取り プラス 診断料 30,000円
基本矯正料 400,000円
調整料(毎月) 無料

1.で改善が見込めない状況で2.インビザラインファーストの矯正治療に移行する場合

矯正相談 無料
資料取り プラス 診断料 50,000円
基本矯正料 300,000円
調整料(毎月) 無料

1.プラス2.もしくは1.のみでさらに改善が必要なケースで3.全顎的なワイヤー矯正 および インビザライン矯正の治療に移行する場合

矯正相談 無料
資料取り プラス 診断料 50,000円
基本矯正料 800,000円
調整料(毎月) 5,000円

となります。
マイオブレイス、アライナー等の破損や紛失に関しましては別途10000円で新しいものを購入していただくことになります。
治療上でのステップアップやサイズアップ等の器具の変化に関しては無料となります。
※理由を問わず、矯正治療の中断を選択された際にはお支払いいただいた料金の返金対応は行っておりません。

詳しくお知りになりたい方はスタッフまでお気軽にお問合せください。

スタッフ・ドクターへのご相談、カウンセリング時に不安や疑問を取り除いていただくために、丁寧にお話をさせていただくようスタッフ一同努めております。
お子様の矯正治療や治療費の事など…親御様にご納得いただけるよう、詳しくご説明をしております。
些細なことでも、スタッフまでお気軽に何でもご相談ください。


症例のご紹介

りお歯科クリニックで実際に矯正治療を行ったお子さまの症例をご紹介します。

症例1

Before

症例1 治療前

After

症例1 治療後

年齢・性別 11歳・女の子
治療内容 マイオブレイス
治療期間 5年6ヶ月(予防期間含む)
費用 400,000円(税込)
主なリスク 矯正装置の装着時に違和感や痛みが生じる場合があります。
装置の使用状況により治療期間が延長する場合があります。
治療後、保定装置を使用しない場合は後戻りする可能性があります。
治療結果には個人差があります。

症例2

Before

症例2 治療前

After

症例2 治療後

年齢・性別 12歳・女の子
治療内容 マイオブレイス
治療期間 3年10ヶ月
費用 400,000円(税込)
主なリスク 矯正装置の装着時に違和感や痛みが生じる場合があります。
装置の使用状況により治療期間が延長する場合があります。
治療後、保定装置を使用しない場合は後戻りする可能性があります。
治療結果には個人差があります。

症例3

Before

症例3 治療前

After

症例3 治療後

年齢・性別 10歳・女の子
治療内容 インビザラインファースト
治療期間 2年2ヶ月
費用 400,000円(税込)
主なリスク 矯正装置の装着時に違和感や痛みが生じる場合があります。
装置の使用状況により治療期間が延長する場合があります。
治療後、保定装置を使用しない場合は後戻りする可能性があります。
治療結果には個人差があります。

症例4

Before

症例4 治療前

After

症例4 治療後

年齢・性別 10歳・女の子
治療内容 インビザラインファースト
治療期間 1年7ヶ月
費用 400,000円(税込)
主なリスク 矯正装置の装着時に違和感や痛みが生じる場合があります。
装置の使用状況により治療期間が延長する場合があります。
治療後、保定装置を使用しない場合は後戻りする可能性があります。
治療結果には個人差があります。

※治療結果には個人差があります。


 

お子さまの矯正治療の流れ

「5歳~10歳まで」に始める矯正が、「お子さまの矯正」の対象になります。

① 矯正のカウンセリングお子さまの歯並び・矯正などの悩み相談小児矯正治療の流れ

お子様の矯正治療をお考えの方や、歯並びで悩んで見える親御さんは大勢おみえになります。
わからないことや疑問点などスタッフまでお気軽に声をおかけください。
「詳しく診てもらいたいな」という患者様はカウンセリングご希望の旨お伝えください

カウンセリングでは、お子様の歯並びやかみ合わせなど親御さまより気になる点をお伺いさせていただきます。
お話しさせていただいたあと、お子様のお口の状態を診ます。
りお歯科クリニックには、「歯列育形成」でご来院される方が非常に多いです。
当院のお子様の矯正治療の治療方針に基づいて、詳しい治療法・おおよその治療期間、治療にかかる金額等についても丁寧に説明させていただいております。

 
 
② 検査・診断検査・歯型採取・模型製作・レントゲン撮影・写真撮影小児矯正の検査

お口の中の詳しい検査(歯型をとる・模型を作る・レントゲン撮影・写真撮影)などを行います。
歯列育形成の検査と診断のポイント
1. 乳歯列弓の形 
2. 上下顎の前後的位置関係 
3. 将来的な永久歯配列スペースの計測 
4. 永久歯の先天性欠如の確認

 
 
③ 治療計画の説明治療内容やスケジュールをわかりやすく説明します子供の歯列矯正

歯科医院でよく利用する患者様が聞いたことのないような専門用語は使わず、患者様に伝わり理解のしやすい言葉で治療内容からスケジュールまでを説明いたします。

  
④ プレート製作小児矯正の装置

矯正の装置(取り外し可能なプレート)をお子様にあわせて作ります。
矯正治療期間中、お子様の成長・お口の中の様子にあわせプレートを上下5回ずつ作成していきます。
(個人差がございますので、お子様の状態に応じて増減します)

 
 

⑤ プレートの使い方の説明普段のプレートの使用方法矯正装置

矯正の装置(取り外し可能なプレート)のつかいかた、日ごろの管理の仕方などをご説明します。
最初の装着では、女性スタッフと付け方・外し方一緒に練習します。

 
 

⑥ 歯列育形成の定期チェック(継続管理)矯正治療の通院期間歯列育形成

お子様の治療中(矯正期間中)は、約2週間に1回の通院となります。
継続管理中の確認ポイント
1. 歯列弓の形や状態を確認します
2. 上下顎の前後の位置関係を診ます
3. 将来的な永久歯の配列スペースを測ります
4. 萠出中または萠出前の永久歯の状態を診ます

上記の状態を定期的に確認し、歯並びの様子を見て成長状態に合わせてプレートを再度作成します。
継続管理の間は虫歯予防などの定期検査やクリーニングなどのメンテナンスをしっかり行い、虫歯にならないようにすることが気をつける必要があります。

 
 

⑦ 治療の終了です矯正治療が完了
矯正治療の終了は永久歯がすべて生え揃っている状態で、歯並びや顎の安定を確認してからになります。
早くても11歳以降くらいまではかかるのが一般的だと思って頂ければと思います。

 
 

⑧ 定期的に健診します成長に合わせて歯並びの様子を見守ります歯並び

お子様の歯の矯正治療はおわっても、以降お子様は成長していきます。
定期的に健診を行うことにより歯並びをチェックし、もしも歯並びに異常が現れた場合には、保定装置で美しくなった歯並びを持続できるようにしていきます。
定期検診では、あわせて虫歯の検査と虫歯予防も行いお子様の未来に向けて、お口の健康を守っていきます。

 

矯正後のケアもしっかり行っています

きれいに磨く 歯磨きの仕方の説明正しい歯磨きが身に着く TBI

お口の中や歯の健康を保つ秘訣は、ご家庭で行う歯磨き(口腔ケア)が重要です。
毎日しっかりと歯磨きをしているつもりでも、しっかりと磨けずにいては、虫歯や歯周病は完璧に防ぐことができません。
お子様に合った正しい歯の磨き方を、歯科衛生士が丁寧にゆっくりと教えていきます。

 
お口の中のクリーニングご家庭と歯科医院でのケア PMTC

歯科衛生士に教わった通り、お子様が毎日正しい歯磨きを行っていても、汚れは少しずつ蓄積していきます。
歯間、歯と歯茎の間の歯周ポケットに、歯ブラシでは綺麗によごれが落ちない場所があるのです。

そこでりお歯科クリニックでは、ご家庭でのセルフケアと合わせて、当院でのTMPC(クリーニングケア)でしっかりと予防を行います。
クリーニングとご家庭でのセルフケアをしっかりと行うことで、虫歯や歯周病を予防できます。
また、口臭なども予防できとってもきれいなお口の中を維持できます。

治療計画の説明ご要望に合った治療方法や治療期間
治療を行うにあたり、お子様のお口の状態によって治療方法がいくつもございます。
「見栄えを最優先に治療してほしい」
「できるだけ長持ちするように被せ物をしてほしい」
等々、親御さんのお考えはさまざまです。

りお歯科クリニックでは、まずお子様のお口の中を診させていただいた後、親御さんの要望や希望に沿った治療方法や治療期間などを提案させていただいております。
お子様の治療も、親御さんが同意された方法で治療をすすめさせていただいております。
安心してお任せ下さい。

定期健診虫歯や歯周病の予防

私たちの体にとって「健康なお口(口腔)の状態」は全身の健康にとってすごく大切です。
お口の健康は、お子様だけでなく大人もすべて共通しますが、老化防止(アンチエイジング)や思考力、集中力、運動能力など影響しています。

定期健診では、虫歯や歯周病にならないための予防、最小限に抑えるために行っています。
定期検診の中で、もし虫歯や歯周病が見つかったとしても、早期治療によって割と簡単な治療で済む場合が多いです。
「虫歯になって、痛いのが我慢できなくなったら治療する」は、歯を削る、神経等の治療になって痛みを伴う治療になります。
そうならないためにも、定期健診でお口の健康を保つようにしましょう。

親御さんからいただく「よくあるご質問」

反対咬合反対咬合の治療の時期について

保護者様
反対咬合はすぐに治療せずにそのままにしていて大丈夫?
スタッフ
反対咬合は、早期治療をしないと治すのがだんだんと困難になります。
乳歯列(3歳)~遅くても混合歯列初期(7歳)までに、反対咬合の治療をお勧めしております。。
もし、治療をするのが遅くなった場合、下顎が大きくなってしまう「骨格的反対咬合」という症状になります。
また、骨格的反対咬合になると、歯の矯正治療では治せなくなっていきます。

乳歯列の反対咬合になったお子様で、その後永久歯はえてきて自然になおったのはたった「6%」。(日本矯正歯科学会 発表)
永久歯に生え変わっても反対咬合だったのは94%という圧倒的な数字です。
反対咬合は自然に治る可能性はかなり低いのがわかります。
また、ご両親に反対咬合がある遺伝的なものも自然には治りません。

 
装置の慣れについてプレートの違和感は無いか

保護者様
矯正の装置にはすぐ慣れますか?こどもが嫌がらないですか?
スタッフ
矯正の装置(プレート)に慣れてもらうように、初めは集中して遊んでいる時や、テレビを見ている時などから始めます。
まず1時間くらい使用し、違和感なく装着に慣れてきたところで、寝ている時にも使用していきます。
すぐに慣れてきますのでご安心ください。

また、年齢が低いほどお子様が嫌がらずよく使用してくれます。
低年齢ほど、プレートに慣れてすんなり矯正が進みやすい傾向にあるので、早い段階できれいな歯並びになりやすくなります。
りお歯科クリニックで使用しているプレートは、お子様に好きな色を選んでもらっています。
お子様の好きなシ-ルやイラストを入れることも可能です。
お子様だけのオリジナルプレ-トを作りますので、当院で矯正治療するお子様には「楽しんで矯正」をしていただいています。

 
普段の生活使わなくても問題ないか

保護者様
幼稚園や小学校へいっているときはプレート(矯正装置)を使いますか?
スタッフ
プレートはお子様が就寝時と家にいるときに1~2時間使用していただきます。
実は幼稚園や小学校では、使用しなくてもいいのです。

お子様の矯正治療のご相談・ご予約

ご相談・矯正治療のご予約はお電話または下記ご予約フォームよりご連絡下さい。
不明な点などは、診察時やお電話などいつでも承っておりますので、スタッフまでお気軽にお声かけ下さい。